Tin nổi bật ngày 27/05/2020
1/ Chiều 27/5, không có ca mắc mới COVID-19, Việt Nam điều trị khỏi 278 ca bệnh
Bản tin lúc 18h ngày 27/5 của Ban Chỉ đạo Quốc gia Phòng chống dịch COVID-19 cho biết, hôm nay đã 41 ngày Việt Nam không có ca mắc mới ở cộng đồng. Trong ngày có 6 bệnh nhân đang điều trị được công bố khỏi bệnh, nâng số ca khỏi tại Việt Nam lên 278 ca.
Nguồn:
.jpg)
2/ Điều dưỡng - Người đi đầu trong cuộc chiến chống COVID-19
Đại dịch COVID-19 là một lời nhắc nhở về vai trò quan trọng của Điều dưỡng. Không có họ, chúng ta không có những chiến thắng trong cuộc chiến chống COVID-19.
Thời điểm hiện tại, Việt Nam là 1 trong ít quốc gia trên thế giới sớm đẩy lùi dịch bệnh do COVID-19. Những người điều dưỡng, hộ sinh cũng đã những đóng góp rất lớn trong thành công này.
Nguồn:
.jpg)
3/ Thông tin về trường hợp mắc virus Zika tại Đà Nẵng
Chiều 26/5, Trung tâm Kiểm soát bệnh tật TP. Đà Nẵng (CDC Đà Nẵng) báo cáo về kết quả điều tra, giám sát, xử lý ca bệnh do virus Zika trên địa bàn quận Liên Chiểu.
Ngày 29/4, bệnh nhân đến khám tại Trung tâm y tế (TTYT) quận Liên Chiểu với biểu hiện sốt 38,5 độ C, đau khớp, đau cơ, nhức đầu, chán ăn, buồn nôn. Bệnh nhân được chỉ định lấy mẫu xét nghiệm theo dõi Zika, kê đơn thuốc và hẹn 2 ngày sau tái khám.
Ngoài ra, Trung tâm CDC Đà Nẵng vận động người dân diệt lăng quăng, bọ gậy; phun hóa chất diệt muỗi và làm tốt công tác tuyên truyền đến người dân về việc phòng ngừa dịch bệnh.
Nguồn:
http://baochinhphu.vn/Suc-khoe/Thong-tin-ve-truong-hop-mac-virus-Zika-tai-Da-Nang/396630.vgp
.jpg)
4/ “Đốt thuốc” sau giờ tan học
Không còn là câu chuyện cá biệt, “đốt thuốc” sau giờ tan học gần như là thói quen hằng ngày của khá nhiều bạn trẻ đang khoác trên mình chiếc áo trắng học trò.
Ông Nguyễn Hữu Khánh Duy - Giám đốc Trung tâm cai nghiện ma túy Thanh Đa (TP.HCM) - cho biết việc các học sinh đang ngồi trên ghế nhà trường có thói quen hút thuốc là tình trạng đáng báo động. Bởi khi nhận thức chưa đầy đủ, hút thuốc theo trào lưu đua đòi hoặc để thể hiện “đẳng cấp” rất dễ dẫn đến việc bị nghiện các loại chất kích thích khác.
Nguồn:
https://tuoitre.vn/dot-thuoc-sau-gio-tan-hoc-20200526220614833.htm
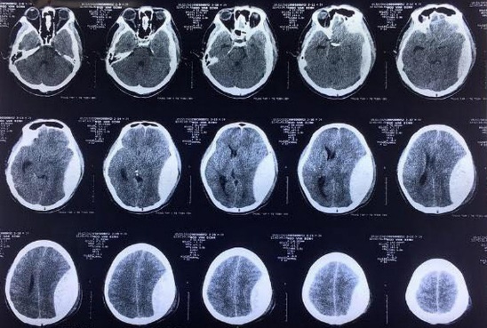
5/ Tháo nắp sọ gửi ngân hàng mô, cứu bệnh nhân chấn thương sọ não
Trung tâm Y tế Tiên Yên (Quảng Ninh) vừa tiếp nhận bệnh nhân N.V.Đ ( 29 tuổi, trú tại Đầm Hà, Quảng Ninh) bị chấn thương sọ não nặng do tai nạn giao thông. Đây là ca bệnh rất nặng, phức tạp, tình trạng người bệnh rất nguy kịch nếu chuyển tuyến bệnh nhân có thể tử vong trên đường đi do thời gian chấn thương kéo dài.
Bác sĩ trong kíp mổ đã tiến hành phẫu thuật lấy máu tụ ngoài và dưới màng cứng, cầm máu, gửi nắp sọ vào ngân hàng mô. Sau 3 giờ, ca phẫu thuật thành công. Hiện tại, bước sang ngày thứ 8 điều trị, sức khỏe bệnh nhân dần ổn định, đang được phục hồi chức năng.
Nguồn:
.jpg)
Yến Thư – Trung tâm Kiểm soát bệnh tật Thành phố Hồ Chí Minh